Chilomastix mesnili (Flagellate) Intestinal Parasite
Note: I'm always hesitant in adding posts of organisms where the photos don't clearly show the features or structures described. Such is the case here -fine detail is not evident, but here are the photos for whatever they are worth.
Geographic & Human Habitats:
In nature, Chilomastix mesnili is considered to be cosmopolitan and therefore has worldwide distribution, found in both warm & temperate climates. In humans, it can be found primarily in the cecal region of the large intestine, but may also occur in the small intestine. There it feeds on intestinal bacteria and debris.
Pathogenicity:
C.mesnili is considered to be non-pathogenic and treatment is not warranted. Its presence in stool specimens does indicate that the host has acquired the parasite through the ingestion of its cysts and therefore has come in contact with contaminated material. Further examination for other more serious parasites might be advised. Personal and public hygiene are key in the prevention this parasite.
Morphology:
Chilomastix mesnilihas both trophozoites and cyst forms. Diagnosis is made by detecting one or both of these forms in fecal specimens.
Trophozoites: ‘Trophs’ are elongate, tapering towards the posterior end. They can measure 6 µm to 24 µm in length but the more common range is 10 µm to 15 µm. In a freshly obtained stool sample, the trophozoites exhibit a ‘stiff’, rotary motion. The nucleus is generally not recognizable in unstained samples from lack of contrast. There are three anterior flagella and a groove running in a spiral manner along the length of the organism. In stained preparations, the single nucleus can be seen, located near the origin of the anterior flagella. The cytostome, or oral depression, is bordered by fibrils extending one-third to one-half down the length of the organism. The most prominent cytostomal fibril curves posteriorly around the cytostome and resembles a ‘shepherd’s crook’. The flagella stain poorly, if at all. The nucleus is found at the anterior end of the organism. Peripheral nuclear chromatin may be present in the form of granules or irregularly distributed as plaques against the nuclear membrane. A small, central or eccentric karyosome may at times be seen.
Chilomastix mesnili -trophozoite seen here with a large nucleus in the anterior end with the flagellate tapering posteriorly. The karyosome is seen to be eccentric. Some inclusions are visible within the cytoplasm.
(Iron-Hematoxylin Stain, 1000X, Nikon)
Chilomastix mesnili -troph as described in the previous photo. Karyosome is not obvious.
(Iron-hematoxylin, 1000X, Nikon)
Chilomastix mesnili -The previous two photos were cropped to better isolate the organism. This un-cropped photo better shows what the Chilomastix mesnili troph would appear like under the light microscope at 1000X magnification when analyzing a stool specimen. Parasitology is a science, skill and art combined, making it one of the more challenging disciplines in clinical microbiology to master.
(Iron-hematoxylin, 1000X, Nikon)
Cysts: The cyst formed by C.mesnili is typically described as lemon or pear shaped, with a prominent knob-like protuberance at the anterior end. (Appearance always depends on the orientation of the organism when fixed and stained.) This shape is characteristic of Chilomastix mesnili alone and does not appear in any other intestinal protozoa. Cysts can range from 6 µm to 10 µm in size but generally average 7 µm to 9 µm in length, with the width being slightly less. The cyst contains a relatively large nucleus and the chromatin may be condensed to form a large karyosome. Curved cytostomal fibrils are usually quite prominent and frequently may give the appearance of an open safety pin, alongside the cytostome.
Chilomastix mesnili -cyst. Note the slightly distorted shape giving the cyst a lemon or pear-like appearance. A rather large nucleus is seen with abundant peripheral chromatin.
(Iron-hematoxylin, 1000X, Nikon)
Chilomastix mesnili -as above. The skill is to find and identify parasites when often hidden or masked by fecal debris present after processing.
(Iron-hematoxylin, 1000X, DMD-108)
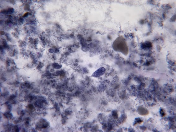
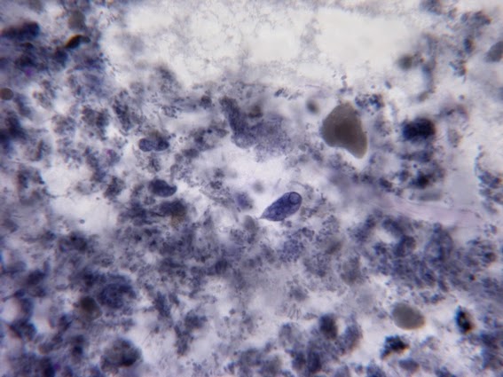
Chilomastix mesnili - due to the orientation, it is difficult to tell in this photo. The nucleus appears at one end suggesting a trophozoite, however it may also be a cyst. Actual size measurement was not recorded for this photo.
(Iron-hematoxylin, 1000X, Nikon)
Chilomastix mesnili -cyst
(Iron-hematoxylin, 1000X, DMD-108)
Chilomastix mesnili -cyst (middle of photo) -other structures are artifacts.
(Iron-hematoxylin, 1000X, Nikon)
Chilomastix mesnili -Chilomastix troph (C.m.) seen above and to the left of an Entamoeba coli cyst (E.c.) -for size comparison.
(Iron-hematoxylin, 1000X, DMD-108)
Chilomastix mesnili -cyst (Cm) seen. A Blastocystis hominis (Bch) cell seen at top of photo. Cell seen near middle of photo shows to few characteristics for definitive identification but may be another Chilomastix organism.
(Iron-hematoxylin, 1000X, DMD-108)
Chilomastix mesnili - cyst in an unstained concentrate. Can you find it without an arrow pointing to it?
(Fecal concentrate, 400X, Nikon)
Chilomastix mesnili - trophozoite in an unstained fecal concentrate.
(Fecal concentrate, 400X, Nikon)
Again, the morphology of Chilomastix mesnili makes it rather easy to identify in well stained preparations. However, both trophs and cysts may stain lightly making them difficult to distinguish when mixed in with fecal material. It must be distinguished from other small parasites that may be present such as Enteromonas hominis and Retortamonas intestinalis.
* * *


.jpg)







.jpg)
.jpg)